علاج تسوس أسنان الأطفال في مدينه نصر - د. محمد محسن
يُعتبر تسوس أسنان الأطفال من المشكلات الصحية الأكثر شيوعًا، والتي تتطلب رعاية دقيقة لتجنب المضاعفات وتأثيرها على صحة الطفل العامة. تقدم عيادة بيانكا لزراعة وتجميل الأسنان في مدينة نصر، تحت إشراف د. محمد محسن محمد، خدمات متخصصة لعلاج تسوس الأسنان عند الأطفال باستخدام أحدث التقنيات الطبية، مع ضمان تجربة علاجية آمنة وخالية من الألم.
بواسطة: دكتور محمد محسن محمد
علاج تسوس أسنان الأطفال مع دكتور محمد محسن محمد – عيادة بيانكا، مدينة نصر
يُعتبر تسوس أسنان الأطفال من المشكلات الصحية الأكثر شيوعًا، والتي تتطلب رعاية دقيقة لتجنب المضاعفات وتأثيرها على صحة الطفل العامة. تقدم عيادة بيانكا لزراعة وتجميل الأسنان في مدينة نصر، تحت إشراف د. محمد محسن محمد، خدمات متخصصة لعلاج تسوس الأسنان عند الأطفال باستخدام أحدث التقنيات الطبية، مع ضمان تجربة علاجية آمنة وخالية من الألم.
د. محمد محسن محمد – خبرة وكفاءة في طب أسنان الأطفال
يُعد د. محمد محسن محمد من أبرز أطباء الأسنان في القاهرة ومدينة نصر، بخبرة طويلة في علاج كافة مشاكل الأسنان للأطفال والكبار:
خبرة عملية واسعة في مستشفيات جامعة الأزهر والقوات المسلحة.
عضو في الأكاديمية الأمريكية لتجميل الأسنان، ومتخصص في متابعة أحدث أساليب العلاج.
يولي اهتمامًا خاصًا بالرعاية الإنسانية والتعامل اللطيف مع الأطفال وذوي الاحتياجات الخاصة.
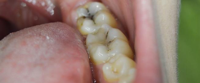
أسباب تسوس الأسنان عند الأطفال
التسوس يحدث عندما تتجمع البكتيريا على الأسنان وتتغذى على السكريات، مما يؤدي إلى تآكل مينا الأسنان. أبرز الأسباب:
الإفراط في تناول الحلويات والمشروبات الغازية.
إهمال تنظيف الأسنان بشكل دوري باستخدام فرشاة ومعجون مناسب للأطفال.
استخدام زجاجات الحليب أو العصائر قبل النوم لفترات طويلة.
ضعف العناية الوقائية والفحوصات الدورية عند طبيب الأسنان.
علامات تسوس أسنان الطفل
يمكن للوالدين ملاحظة علامات التسوس المبكر لتجنب المضاعفات:
حساسية الأسنان عند تناول الحلويات أو المشروبات الباردة/الساخنة.
وجود بقع بيضاء أو بنية على الأسنان.
ألم أو انزعاج أثناء المضغ.
رائحة فم كريهة أو تراكم البلاك والجير.
هل تسوس الأسنان يضر صحة الطفل؟
نعم، تسوس الأسنان عند الأطفال يمكن أن يؤدي إلى:
ألم شديد يؤثر على تناول الطعام والنوم.
مشاكل في الكلام والنطق.
ضعف التركيز في المدرسة بسبب الألم أو الانزعاج.
زيادة خطر العدوى أو مشاكل الأسنان الدائمة في المستقبل.
علاج تسوس الأسنان عند الأطفال بدون ألم
في عيادة بيانكا، يقدم د. محمد محسن محمد حلولًا متقدمة لعلاج تسوس الأسنان عند الأطفال:
استخدام تقنيات التخدير الموضعي والكلي لضمان راحة الطفل.
علاج التسوس المبكر قبل أن تتطور المضاعفات.
متابعة دقيقة لضمان استقرار صحة الأسنان بعد العلاج.
تقديم نصائح للوقاية المنزلية، بما في ذلك اختيار أفضل معجون أسنان للأطفال وتنظيف الأسنان اليومي.
نصائح للوقاية من تسوس الأسنان عند الأطفال
تحديد أوقات محددة لتناول الحلويات والمشروبات السكرية.
غسل الأسنان مرتين يوميًا باستخدام معجون أسنان مخصص للأطفال.
زيارة طبيب الأسنان دوريًا لفحص الأسنان وتنظيفها من الجير والبلاك.
تجنب التدخين أو التعرض لدخان السجائر حول الأطفال.
تناول الأطعمة الصحية مثل الفواكه والخضروات، وتجنب السكريات المفرطة.
لماذا تختار عيادة بيانكا لعلاج تسوس أسنان الأطفال؟
رعاية متخصصة للأطفال وذوي الاحتياجات الخاصة بأسلوب لطيف وهادئ.
أحدث الأجهزة والتقنيات، بما في ذلك الأشعة ثلاثية الأبعاد والليزر.
متابعة دقيقة بعد العلاج لضمان صحة الأسنان والوقاية من التسوس المستقبلي.
خطط علاجية فردية لكل طفل لضمان أفضل النتائج.
تواصل معنا
📍 العنوان: عيادة ٣٤٥، مول ميديكال سنتر ٣، امتداد شارع أبو داوود الظاهري – مدينة نصر، القاهرة
📱 الهاتف & واتساب: 01553830300
🌐 الرابط المباشر: Bianca Dental Clinic
📩 فيسبوك: Bianca Dental Clinic
الخلاصة
إذا كنت تبحث عن أفضل دكتور أسنان لعلاج تسوس الأسنان عند الأطفال في مدينة نصر، فإن د. محمد محسن محمد وعيادة بيانكا هما الخيار الأمثل. من خلال الجمع بين الخبرة الطويلة، الرعاية الإنسانية، والتقنيات الحديثة، نوفر للأطفال علاجًا فعالًا وخاليًا من الألم، مع متابعة دقيقة للحفاظ على صحة الأسنان وتعزيز الابتسامة الصحية والجذابة. اختيارك لعيادة بيانكا يعني استثمارًا في صحة طفلك وابتسامته المستقبلية.
علاج التهابات صمامات القلب في الجيزة مع دكتور محمود الدجوي استشاري جراحة القلب والصدر باستخدام أحدث تقنيات التشخيص والجراحة الدقيقة والتدخل المحدود لضمان أفضل النتائج.
تقنية إصلاح واستبدال الصمام المترالي بدون جراحة مفتوحة تمثل طفرة حديثة في جراحات القلب، حيث تتيح علاج الارتجاع أو التضيق باستخدام التدخل المحدود عبر فتحات صغيرة بدقة عالية، مما يقلل الألم وفترة التعافي ويحقق نتائج طبية متقدمة تحت إشراف جراحات القلب والصدر المتخصصة في القاهرة.
جراحات تمدد الشريان الأورطي في المهندسين مع دكتور محمود الدجوي أحمد استشاري جراحات القلب والصدر تُعد من أدق الإجراءات الطبية التي تعتمد على التشخيص المبكر والتقنيات الحديثة لعلاج أخطر أمراض الأوعية الدموية وتحسين فرص الشفاء بأمان وفعالية عالية.
يُعتبر عيد الأضحى من أكثر الفترات التي يزداد فيها استهلاك اللحوم بشكل كبير داخل البيوت المصرية والعربية، حيث ترتبط هذه الأيام بعادات اجتماعية وغذائية تقوم على تناول اللحوم الحمراء بكميات أكبر من المعتاد. ورغم أن اللحوم مصدر مهم للبروتين والعناصر الغذائية الأساسية، فإن الإفراط في تناول البروتين الحيواني خلال فترة قصيرة قد يسبب ضغطًا كبيرًا على الجسم، وخاصة على الكلى.



