رقم دكتور اسنان في مدينة نصر | أفضل دكتور أسنان بخبرة عالية
إذا كنت تبحث عن رقم دكتور اسنان في مدينة نصر يقدم لك خدمة طبية متميزة باستخدام أحدث التقنيات، فأنت في المكان الصحيح. اختيار طبيب الأسنان المناسب خطوة أساسية للحفاظ على صحة الفم والأسنان وتجنب أي مضاعفات مستقبلية.
بواسطة: دكتور محمد محسن محمد
رقم دكتور اسنان في مدينة نصر | أفضل دكتور أسنان بخبرة عالية
إذا كنت تبحث عن رقم دكتور اسنان في مدينة نصر يقدم لك خدمة طبية متميزة باستخدام أحدث التقنيات، فأنت في المكان الصحيح. اختيار طبيب الأسنان المناسب خطوة أساسية للحفاظ على صحة الفم والأسنان وتجنب أي مضاعفات مستقبلية.
تُعد مدينة نصر من أهم المناطق التي تضم عددًا كبيرًا من عيادات الأسنان، لذلك قد يكون من الصعب اختيار الطبيب الأفضل، وهنا تظهر أهمية الوصول إلى طبيب موثوق بسهولة.
لماذا تبحث عن رقم دكتور اسنان في مدينة نصر؟
البحث عن دكتور أسنان في مدينة نصر ليس فقط من أجل العلاج، بل للحصول على رعاية صحية متكاملة تشمل التشخيص المبكر والوقاية والعلاج التجميلي.
أهم الأسباب:
سهولة الوصول للعيادة
توفر أحدث الأجهزة والتقنيات
تنوع الخدمات الطبية
وجود أطباء ذوي خبرة
أفضل رقم دكتور اسنان في مدينة نصر
يُعد دكتور محمد محسن محمد من أفضل أطباء الأسنان في مدينة نصر، حيث يتمتع بخبرة كبيرة في مجال طب الأسنان ويقدم خدمات متكاملة بأعلى جودة ممكنة.
رقم التواصل:
📞: 01553830300
خدمات دكتور محمد محسن محمد
يقدم الدكتور مجموعة واسعة من خدمات الأسنان التي تناسب جميع الحالات:
علاج تسوس الأسنان
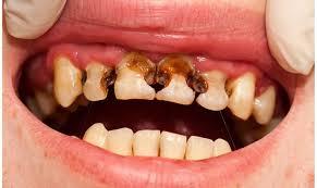
يُعد علاج تسوس الأسنان من أكثر الخدمات التي يبحث عنها المرضى عند البحث عن رقم دكتور اسنان في مدينة نصر، حيث يُعتبر التسوس من أشهر مشاكل الأسنان التي قد تسبب ألمًا شديدًا إذا لم يتم علاجها في الوقت المناسب.
ما هو تسوس الأسنان؟
تسوس الأسنان هو تلف يحدث في طبقة المينا نتيجة تراكم البكتيريا وبقايا الطعام، مما يؤدي إلى تكوّن ثقوب صغيرة في الأسنان قد تتطور إلى مشكلات أكبر إذا تم إهمالها.
أسباب تسوس الأسنان
هناك عدة أسباب تؤدي إلى الإصابة بتسوس الأسنان، من أهمها:
عدم تنظيف الأسنان بشكل منتظم
تناول السكريات بكثرة
إهمال استخدام خيط الأسنان
تراكم الجير والبكتيريا
ضعف طبقة المينا

حشو الأسنان بأحدث المواد
يُعتبر حشو الأسنان بأحدث المواد من أهم الحلول الفعالة في علاج تسوس الأسنان والحفاظ على شكل ووظيفة السن، وهو من أكثر الخدمات التي يبحث عنها المرضى عند البحث عن رقم دكتور اسنان في مدينة نصر للحصول على نتائج تجميلية وطبية متميزة.
ما هو حشو الأسنان؟
حشو الأسنان هو إجراء طبي يتم فيه إزالة الجزء التالف من السن نتيجة التسوس، ثم استبداله بمادة حشو قوية تحمي السن من التلف وتعيد له شكله الطبيعي.
أنواع حشو الأسنان الحديثة
مع تطور طب الأسنان، أصبحت هناك مواد حديثة توفر مظهرًا طبيعيًا وقوة عالية، ومن أهمها:
الحشو التجميلي (الكومبوزيت):
يُعد من أفضل أنواع الحشو، حيث يتطابق لونه مع لون الأسنان الطبيعي، مما يجعله مثاليًا للأسنان الأمامية.
حشو البورسلين:
يتميز بالمتانة العالية والمظهر الجمالي الممتاز، ويُستخدم في الحالات التي تحتاج إلى تحمل ضغط كبير.
علاج التهابات اللثة
تجميل الأسنان:
تبييض الأسنان
تنظيف وتلميع الأسنان
تحسين شكل الابتسامة

التركيبات وزراعة الأسنان:
تركيب التيجان والجسور
زراعة الأسنان
تعويض الأسنان المفقودة
تقويم الأسنان:
تقويم الأسنان للكبار
تقويم الأسنان للأطفال
متابعة دورية للحالات

مميزات دكتور محمد محسن محمد
اختيار الطبيب المناسب يعتمد على عدة عوامل، ومن أهم ما يميز الدكتور:
الخبرة والكفاءة:
يمتلك خبرة واسعة في علاج مختلف مشاكل الأسنان باستخدام أحدث الأساليب الطبية.
أحدث التقنيات:
يستخدم أجهزة حديثة لضمان أفضل النتائج بأقل ألم ممكن.
راحة المريض:
يحرص على توفير بيئة مريحة وتعامل راقي مع جميع المرضى.
التعقيم والجودة:
الالتزام بأعلى معايير النظافة والتعقيم داخل العيادة.
كيف تختار أفضل دكتور اسنان في مدينة نصر؟
قبل اختيار طبيب الأسنان، يُفضل مراعاة بعض النقاط المهمة:
نصائح مهمة:
التأكد من خبرة الطبيب
قراءة تقييمات المرضى
معرفة الخدمات المتوفرة
سهولة التواصل والحجز
الخلاصة
إذا كنت تبحث عن رقم دكتور اسنان في مدينة نصر يجمع بين الخبرة والكفاءة والتقنيات الحديثة، فإن دكتور محمد محسن محمد يُعد خيارًا مميزًا للحصول على أفضل رعاية ممكنة وابتسامة صحية وجذابة.
علاج التهابات صمامات القلب في الجيزة مع دكتور محمود الدجوي استشاري جراحة القلب والصدر باستخدام أحدث تقنيات التشخيص والجراحة الدقيقة والتدخل المحدود لضمان أفضل النتائج.
تقنية إصلاح واستبدال الصمام المترالي بدون جراحة مفتوحة تمثل طفرة حديثة في جراحات القلب، حيث تتيح علاج الارتجاع أو التضيق باستخدام التدخل المحدود عبر فتحات صغيرة بدقة عالية، مما يقلل الألم وفترة التعافي ويحقق نتائج طبية متقدمة تحت إشراف جراحات القلب والصدر المتخصصة في القاهرة.
جراحات تمدد الشريان الأورطي في المهندسين مع دكتور محمود الدجوي أحمد استشاري جراحات القلب والصدر تُعد من أدق الإجراءات الطبية التي تعتمد على التشخيص المبكر والتقنيات الحديثة لعلاج أخطر أمراض الأوعية الدموية وتحسين فرص الشفاء بأمان وفعالية عالية.
يُعتبر عيد الأضحى من أكثر الفترات التي يزداد فيها استهلاك اللحوم بشكل كبير داخل البيوت المصرية والعربية، حيث ترتبط هذه الأيام بعادات اجتماعية وغذائية تقوم على تناول اللحوم الحمراء بكميات أكبر من المعتاد. ورغم أن اللحوم مصدر مهم للبروتين والعناصر الغذائية الأساسية، فإن الإفراط في تناول البروتين الحيواني خلال فترة قصيرة قد يسبب ضغطًا كبيرًا على الجسم، وخاصة على الكلى.



