Dr. Mostafa Nabil – Consultant of Oral and Maxillofacial Surgery in Helwan
In the heart of Helwan, Dr. Mostafa Nabil stands out as one of the leading specialists in Oral and Maxillofacial Surgery
By: Dr. Mostafa Nabil
🦷 Dr. Mostafa Nabil – Consultant of Oral and Maxillofacial Surgery in Helwan
In the heart of Helwan, Dr. Mostafa Nabil stands out as one of the leading specialists in Oral and Maxillofacial Surgery. He is known for his extensive medical expertise and modern approach that combines precision treatment with an aesthetic touch. Dr. Nabil provides comprehensive dental care that covers all aspects — from essential treatments to advanced surgical and cosmetic procedures — all within a modern and fully sterilized clinical environment.
💎 Dental and Cosmetic Services
🪄 Orthodontics
Orthodontics is one of the most precise dental specialties aimed at correcting the position of teeth and jaws to improve both function and aesthetics. Dr. Mostafa Nabil provides several types of braces:
Traditional Metal Braces – ideal for complex alignment cases.
Clear Aligners (Invisalign) – offer a nearly invisible and comfortable option.
Removable Braces – suitable for children and teenagers to maintain proper alignment early on. Dr. Nabil ensures continuous follow-up to achieve perfect results without complications.

✨ Teeth Whitening
A bright smile is the key to confidence. Dr. Nabil offers professional laser and cold-light whitening sessions — advanced techniques that safely restore the natural whiteness of your teeth without damaging enamel. He also provides safe at-home whitening options to help patients maintain long-lasting results. The outcome: a dazzling smile in less than one hour, with no pain or sensitivity.

🌱 Painless Dental Implants in Minutes
Dental implants are the ultimate solution for missing teeth. Dr. Mostafa Nabil performs immediate digital implants using advanced techniques that allow implant placement within minutes — completely pain-free. He uses premium German and American implant systems to ensure strong, natural-looking, and long-lasting results.
Advantages:
• No traditional surgery or stitches required.
• Restores full chewing and aesthetic function.
• Long-lasting durability with minimal maintenance.

💠 Root Canal Treatment in One Visit
Dr. Nabil uses the latest Rotary Endo systems that allow complete cleaning and filling of the root canal in just one session — eliminating the need for multiple appointments. He applies advanced German filling materials that are antibacterial and ensure a long-lasting, pain-free result. Digital X-rays are also used to confirm the precision and success of every treatment.

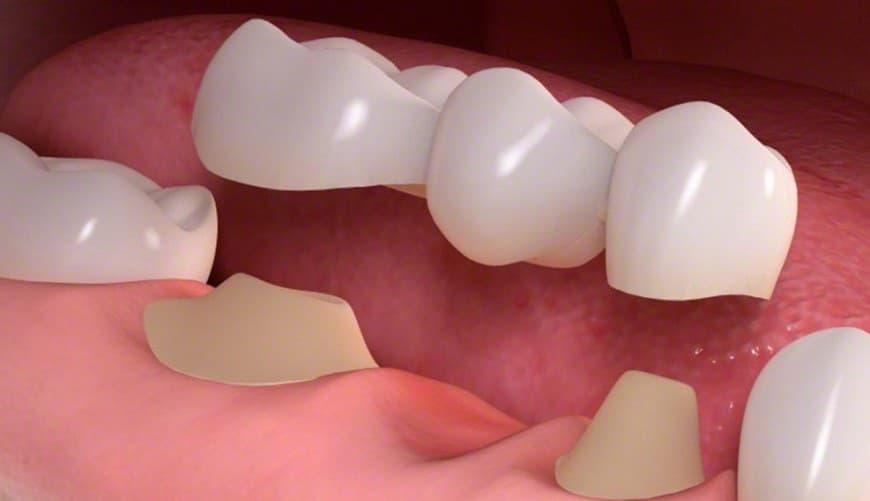
🧩 Fixed and Removable Dental Prosthetics
Dr. Nabil provides comprehensive solutions for tooth replacement through:
Fixed Crowns and Bridges made of zirconium or porcelain for a luxurious, natural appearance.
Removable Dentures that are lightweight and comfortable, ideal for elderly patients or special cases. All prosthetics are custom-designed for precision fit and perfect color matching.

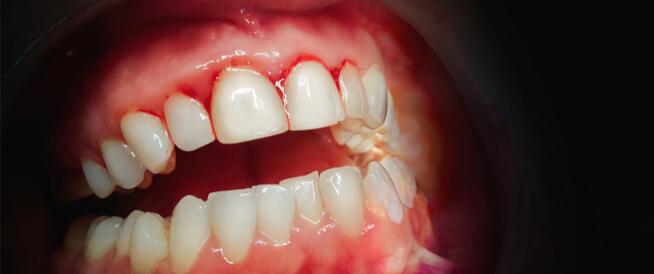
🪥 Teeth Cleaning & Gum Care
Professional dental cleaning is the foundation of oral health. Dr. Nabil offers ultrasonic scaling, polishing, and tartar removal sessions using state-of-the-art devices, along with full gum evaluation and laser therapy for inflammation cases. He also educates patients on personalized home-care routines to maintain long-term oral hygiene and freshness.

🦷 Jaw and Facial Surgery
As a Consultant in Oral and Maxillofacial Surgery, Dr. Mostafa Nabil is highly skilled in managing complex surgical cases such as:
• Temporomandibular joint (TMJ) disorders.
• Jaw clicking or pain during chewing.
• Corrective surgery for jaw deformities caused by trauma or congenital defects.
• Safe and precise removal of cysts or tumors in the jaw area. All surgeries are performed using advanced techniques that ensure fast recovery and functional, aesthetic results.

🌟 Why Choose Dr. Mostafa?
✔️ Extensive experience in oral and cosmetic dentistry.
✔️ Utilization of the latest global equipment and materials.
✔️ Personalized care for every patient to ensure comfort and satisfaction.
✔️ Strict adherence to sterilization and safety standards.
✔️ Accurate, natural-looking results that last for years.
Heart valve infection treatment in Giza with Dr. Mahmoud El-Degwy, cardiothoracic surgeon, using advanced diagnostic methods and minimally invasive cardiac surgery for optimal outcomes.
Minimally invasive mitral valve repair and replacement is an advanced cardiac surgery technique that treats valve disorders without open-heart surgery. It reduces pain, hospital stay, and recovery time while ensuring high precision outcomes in modern heart surgery.
Aortic aneurysm surgery in Mohandessin with Dr. Mahmoud Eldegwy Ahmed, consultant cardiothoracic surgeon, is one of the most advanced medical procedures, relying on early diagnosis and modern surgical techniques to treat life-threatening vascular conditions safely and effectively.
Eid al-Adha is one of the periods when meat consumption significantly increases in Egyptian and Arab households, as it is strongly associated with social gatherings and traditional meals based on red meat. Although meat is an important source of protein and essential nutrients, excessive intake of animal protein within a short period can place a heavy burden on the body, especially the kidneys.



