Gum Inflammation and Bleeding Treatment in New Cairo with Dr. Shaimaa Rabie
Learn about the causes of sudden gum bleeding, effective treatment options in New Cairo, and expert tips to maintain healthy gums and teeth.
By: Dr. Shaimaa Rabie Mohamed Ali
❓ What Causes Sudden Gum Bleeding? And How Is It Treated in New Cairo?
Have you noticed sudden gum bleeding while brushing your teeth or even without a clear reason? 🤔
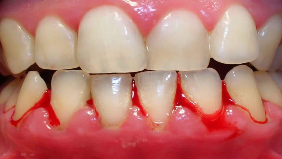
The simple answer: gum bleeding is not always normal. It is often an early sign of an oral health issue that requires prompt attention.
In this context, Dr. Shaimaa Rabie Mohamed Ali – Consultant of Oral and Dental Medicine explains that gum bleeding should never be ignored, as it may indicate the beginning of a condition that needs early treatment.
In this article, we will explain the main causes of sudden gum bleeding, the best treatment options available in New Cairo, and how to prevent it to maintain a healthy smile.
🦷 What Causes Sudden Gum Bleeding?
Dr. Shaimaa Rabie Mohamed Ali explains that gum bleeding can occur for several reasons, some simple and easy to treat, while others may indicate a more serious issue:
1. Gingivitis
The most common cause, resulting from plaque and tartar buildup, which irritates the gums and causes bleeding.
2. Poor Oral Hygiene
Irregular or improper brushing leads to bacterial buildup and gum inflammation.
3. Using a Hard Toothbrush
Brushing too hard or using a stiff toothbrush may cause temporary bleeding.
4. Vitamin Deficiency
Especially vitamins C and K, which are essential for healthy gums.
5. Hormonal Changes
Such as pregnancy or hormonal fluctuations, making gums more sensitive.
6. Advanced Gum Disease
In severe cases, bleeding may indicate periodontitis, which can lead to tooth loss if untreated.
⚠️ When Is Gum Bleeding Dangerous?

Dr. Shaimaa Rabie Mohamed Ali points out that gum bleeding becomes serious if you notice:
- Bleeding that persists for a long time
- Pain or swelling in the gums
- Persistent bad breath
- Loose teeth or receding gums
👉 In these cases, you should visit a dental specialist immediately for accurate diagnosis.
🏥 How Is Gum Bleeding Treated in New Cairo?
Treatment depends on the cause and is determined after a proper examination. Dr. Shaimaa Rabie Mohamed Ali uses advanced technologies to treat gum problems, including:
🧼 Professional Cleaning
Removing plaque and tartar to eliminate the main cause of inflammation.
💊 Medications
Antibiotics or medicated mouthwash may be prescribed in some cases.
⚡ Laser Treatment
Modern techniques that treat gums quickly, painlessly, and promote healing.
🧪 Advanced Gum Therapy
For severe cases, specialized procedures are used to preserve teeth and prevent further damage.
💡 How to Prevent Gum Bleeding?
Dr. Shaimaa Rabie Mohamed Ali recommends a simple daily routine to prevent gum issues:
- 🪥 Brush twice daily properly
- 🧵 Use dental floss daily
- 🧴 Use a suitable mouthwash
- 🥦 Eat a vitamin-rich diet
- 📅 Visit your dentist regularly
🦷 Comprehensive Dental Services in New Cairo
Dr. Shaimaa Rabie Mohamed Ali provides a full range of dental services using advanced technologies, including:
- Gum disease treatment
- Professional cleaning and scaling
- Root canal treatment
- Fixed and removable prosthetics
- Cosmetic dentistry and smile design
- Laser teeth whitening
- Dental implants
🌟 Advanced Care & Academic Expertise
Dr. Shaimaa Rabie Mohamed Ali is recognized as one of the leading dental specialists in New Cairo, combining strong academic qualifications (PhD in Endodontics & Master’s in Restorative Dentistry) with extensive clinical experience.
She uses the latest technologies such as laser and 3D imaging, providing personalized treatment plans in a comfortable and safe environment.
👶 Does Gum Bleeding Occur in Children?
Dr. Shaimaa Rabie Mohamed Ali explains that children may also experience gum bleeding due to:
- Poor oral hygiene
- Early gum inflammation
- Vitamin deficiencies
👉 Regular dental check-ups and proper habits are essential from an early age.
📞 Book Your Appointment Now
If you suffer from gum bleeding or any dental issue, book your appointment with Dr. Shaimaa Rabie Mohamed Ali for accurate diagnosis and a personalized treatment plan.
📍 Address: 163 South 90th Street, New Cairo, Egypt
📞 Phone: 01008911566
Working Hours:
- Saturday: 10 AM – 4 PM
- Tuesday: 10 AM – 2 PM
- Thursday: 12 PM – 7 PM
- Friday: 2 PM – 5 PM
✨ Conclusion
Sudden gum bleeding is not just a minor issue; it can be an early warning sign of a serious dental condition.
With proper diagnosis and follow-up with Dr. Shaimaa Rabie Mohamed Ali, you can restore your gum health and avoid complications.
👉 Don’t ignore the symptoms—take care of your oral health today for a confident, healthy smile 😁🦷
LASIK surgery is one of the most popular vision correction procedures worldwide. Many people ask an important question: Is LASIK right for you? However, not everyone is a suitable candidate, as there are specific medical criteria that must be met. In this article, we will explain everything you need to know before making a decision.
Understanding the difference between myopia and hyperopia is essential for anyone trying to learn about common vision problems. Both conditions affect how clearly we see, but in completely different ways. In this article, we will explain the difference in a simple and easy-to-understand manner.
Vision impairment (weak eyesight) is one of the most common eye problems in modern times, affecting people of all ages. It may develop gradually or suddenly, and its causes and treatment methods vary depending on the condition. In this article, we explain the main causes of vision impairment, treatment options, and prevention methods in a simple and practical way.
Polycystic Ovary Syndrome (PCOS) and its relationship with pregnancy is one of the most concerning topics for women, especially when facing delayed conception. PCOS is a common hormonal disorder that can affect ovulation, but it does not necessarily mean infertility or inability to get pregnant. In this article, we will explain in detail the relationship between PCOS and pregnancy, along with the most effective treatment options.



